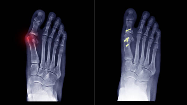
무지외반증 통증 정보가 궁금하셔서 제 포스팅 오신거죠? 잘 오셨습니다.
무지외반증 통증 관련된 정보를 자세하게 정리 했습니다.
아래 나오는 내용들 확인하시면 큰 도움이 되실겁니다.
건강 관리를 함에 있어서 가장 중요한 것은 바로 올바른 정보로 관리하는 겁니다.
아래 무지외반증 통증 관련해서 올바른 정보를 정리 했습니다.



✅무지외반증 통증 아무도 모르는 관리법 8가지
아래 영상은 전문가가 무지외반증 통증 관련해서 관리법을 알려주는 영상입니다.
시간내서 꼭 시청해보세요! 무지외반증 통증 관리하는데 큰 도움이 되실겁니다.
정말 자세하게 하나하나 알려줍니다. 어디서도 접하지 못한 고급 정보 입니다.
영상은 아래 클릭하면 재생 됩니다.



✅무지외반증 통증 관리하는 법
1. 피 통하는 신발 선택
무지 외반증을 관리하려면 피 통하는 신발을 선택해야 합니다. 힐 대신 앞쪽이 넓고 편안한 신발을 고르세요. 이렇게 선택한 신발은 무지 외반증을 개선하는데 도움이 될 것입니다.



2. 발가락 운동
무지 내정(엄지 발가락 주변의 근육)을 강화하기 위해 발가락 운동을 해보세요. 엄지 발가락을 모아주는 근육을 강화하면 발의 아치를 높일 수 있습니다. 발가락을 모아주는 운동과 발가락을 벌려주는 운동을 꾸준히 실시하세요.
3. 발 마사지
발 마사지를 통해 발 아치 주변의 근육을 이완시키고 혈액 순환을 촉진하세요. 특히 엄지 발가락 주변을 집중적으로 마사지하면 무지 외반증 관리에 도움이 됩니다.



4. 발가락 간에 저항 주기
손가락을 사용하여 발가락을 모아주는 힘을 저항을 주면서 훈련하세요. 이렇게 하면 엄지 발가락 주변 근육을 강화하고 발 아치를 높일 수 있습니다.
5. 발바닥 마사지
발바닥 안쪽을 마사지하여 근육을 이완시키고 무지 외반증을 관리하세요. 발바닥 안쪽 근육을 풀어주는 것이 중요합니다.



6. 종아리 근육 강화
종아리 근육을 강화하면 발 아치를 높일 수 있습니다. 폼 롤러를 사용하여 종아리 근육을 마사지하고 정강이 앞쪽 근육도 풀어주세요.
7. 신발 선택에 주의
신발을 선택할 때 발의 형태와 아치에 맞는 신발을 고르는 것이 중요합니다. 잘 맞는 신발은 무지 외반증을 관리하는데 도움이 됩니다.
8. 전문가 상담
무지 외반증의 심각한 경우에는 전문가 상담을 고려해야 합니다. 물리치료사나 발건강 전문가와 상담하여 적절한 치료 방법을 찾아보세요.



무지외반증 통증 마무리
무지 외반증은 초기에 적절한 관리와 운동을 통해 개선할 수 있는 상태입니다.
위의 8가지 방법을 실천하면 무지 외반증을 효과적으로 관리하고 더 나은 발건강을 유지할 수 있을 것입니다.
하지만 무지 외반증이 심각한 경우에는 전문가의 도움이 필요하므로 증상이 악화되기 전에 상담을 받는 것이 좋습니다.
